5 Morning Habits to Boost Your Metabolism and Start the Day Right with Collagen...
Kick-starting your day with the right habits can set the tone for a healthier, more energetic lifestyle. If you’re looking to supercharge your metabolism,...
Benefits of Buying Online Mesh Tarp
Mesh tarps are widely used for various purposes, starting from extreme tourism to construction site protection. Such arrangements provide excellent abrasion-resistant multilayered cloths having...
Improving Community Planning with Drone Mapping
The use of drone technology in community planning is revolutionizing the industry. Once limited to military and recreational use, drones have become essential tools...
Impact of Anxiety Disorder on Work
Anxiety disorders are one of the most common mental health conditions, affecting millions of people worldwide. These disorders can have a significant impact on...
Navigating FX Risk: How Euro Volatility Impacts US Business Transactions
Foreign exchange (FX) risk is a significant concern for US businesses involved in international trade, particularly when dealing with European markets.
The euro is one...
Why Remote Proctoring Excels in Modern Educational Settings
In today's fast-paced, technology-driven world, education is undergoing a significant transformation. As more institutions adapt to digital learning platforms, the need for reliable, secure,...
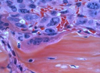
What Are the Early Signs of Mesothelioma?
Mesothelioma is a rare and rather aggressive form of cancer that takes years to develop and usually isn’t detected until after it’s reached the...
The Best Ways to Earn Passive Income: A Guide for Small Business Owners
As a small business owner, your primary goal might be to build a thriving enterprise, and you know that passive income streams can provide...
Creating Strong Patient Relationships with Thoughtful Office Space Design
In recent years, the link between healthcare and architecture has gained attention for its effect on patient experience. The space where patients receive care...
Choosing the Right Ski Rack for Your Car: The Benefits of Hitch Ski Racks...
Ski season is an exciting time of year, whether you’re a seasoned pro or a weekend warrior. One essential piece of equipment that can...

















